Paso 2 de 2 — Agenda Tu Visita Sin Coste

Transforma el futuro de tu hijo con una sonrisa brillante

Agenda una Primera Visita con Escaneo 3D y Radiografía Gratis

¿Tu hijo ya ha cumplido 6 años?

A los 6 años aparecen los primeros molares definitivos y es el momento óptimo para realizar la primera radiografía bucal para detectar posibles alteraciones de erupción, maloclusión dental o falta de espacio, y valorar su tratamiento.

Beneficios

Identifica problemas antes de que se conviertan en complicaciones mayores.

Nuestro escaneo 3D ofrece una visión completa y precisa del desarrollo dental de tu hijo.

Prevenir ahora significa menos tratamientos y coste en el futuro.

Antes y Después en directo, en la 1a visita

Un control temprano a partir de los 6 años puede prevenir complicaciones futuras y garantizar una sonrisa saludable para tu hijo.

Aprovecha nuestra tecnología avanzada con una primera visita que incluye escaneo 3D y radiografía sin costo.

¿Por qué la prevención es fundamental?

Identificamos la necesidad de espacio para los dientes permanentes y la correcta oclusión.

En muchos casos, la paciencia es una virtud y no es necesario iniciar un tratamiento ortodóntico inmediato.

Pero, en situaciones donde la mordida no es la adecuada, como en la mordida cruzada, es vital actuar pronto.

Dejarlo sin tratamiento podría llevar a complicaciones más adelante, como un crecimiento facial asimétrico debido a la desviación de la mandíbula.

Nuestro enfoque preventivo y correctivo está diseñado para asegurar el desarrollo armónico y saludable de la sonrisa de su hijo.

Vuestra opinión importa

Escucha lo que otros padres tienen que decir sobre cómo nuestra 1a visita sin coste ayudó a sus hijos a comenzar el camino hacia una sonrisa saludable y segura.

Nuestros Pequeños Pacientes, Nuestros Grandes Triunfos 💫

Descubre el Cambio que una Visita Puede Hacer

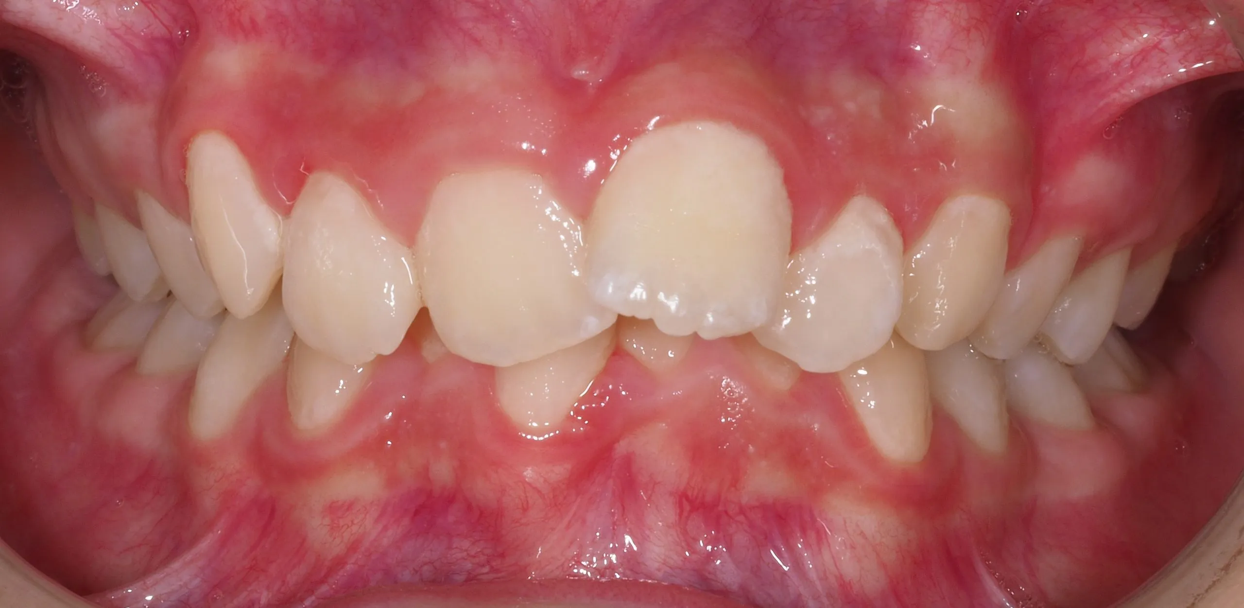
ANTES

DESPUÉS

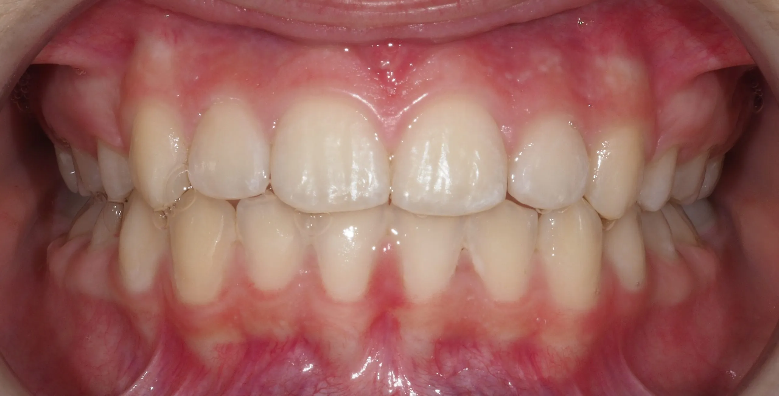
ANTES

DESPUÉS

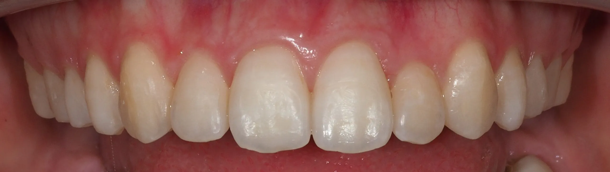
ANTES

DESPUÉS

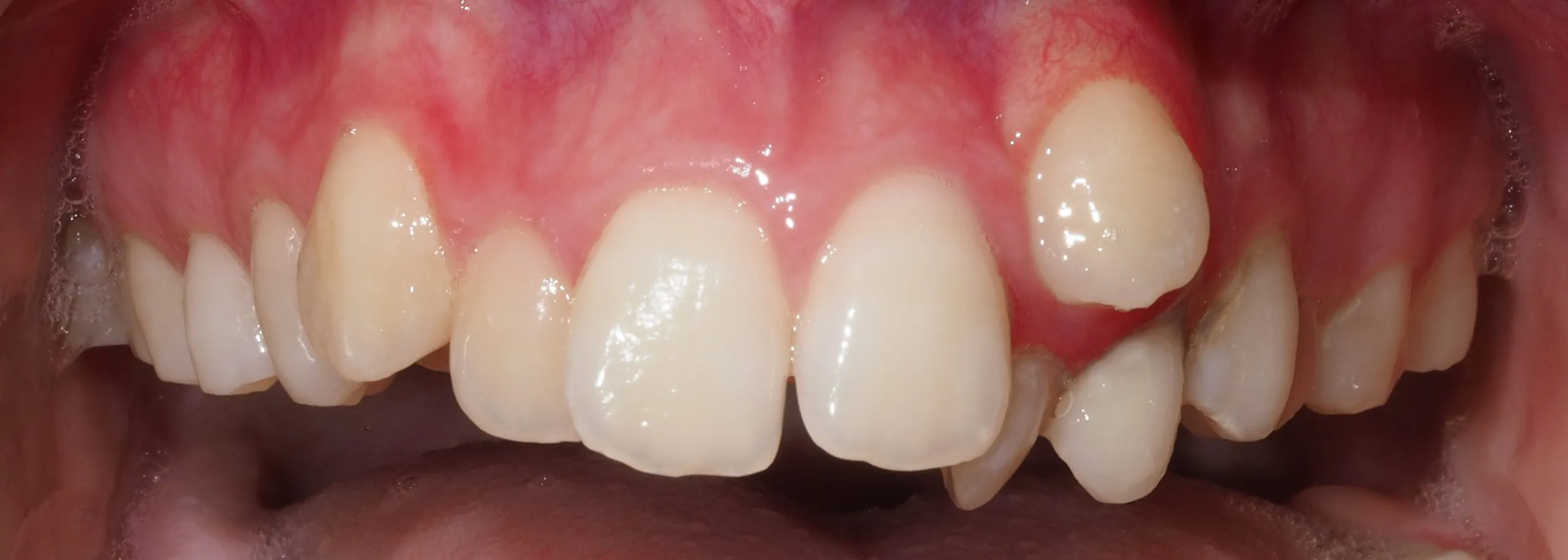
ANTES

DESPUÉS

Un equipo maravilloso ✨

Especializado exclusivamente en ortodoncia infantil y en ortodoncia para adultos. Con amplia formación y dilatada experiencia, sabemos muy bien qué hacemos y nos centramos en ti.

Solicita tu Escaneo 3D + Radiografía Sin Coste

Te llamaremos para concretar la hora